第五版           <上一版           下一版>           PDF版          手机版

手机版

487 >> 2024年06月30日 星期日  共8版
<上一期 下一期>  按日期查询   往期查询  首页

附属第六医院生殖医学中心团队全球首次应用第三代试管婴儿技术,
成功阻断端粒融合型环状染色体向子代传递


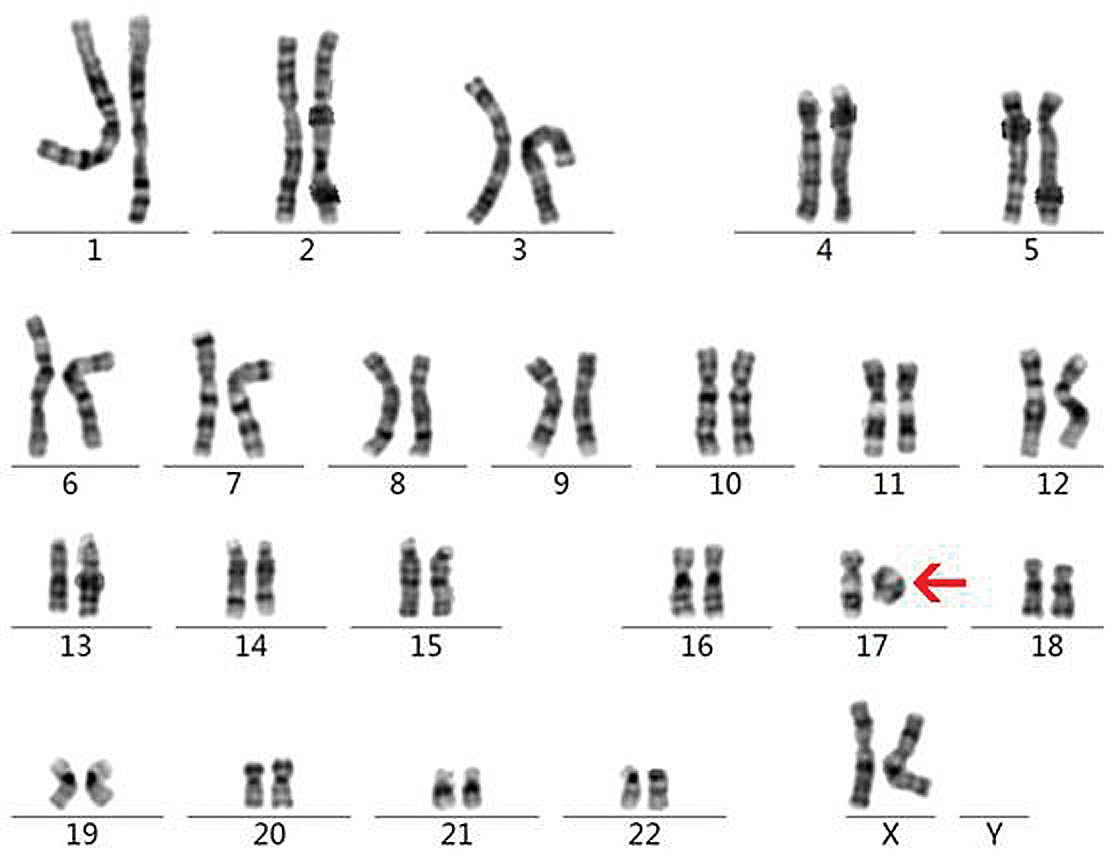
该类染色体核型结果(17号染色其中一条体呈现环形)

本报讯(通讯员/张婷婷、戴希安、简文杨、张志强)2024年3月19日,附属第六医院生殖医学中心团队召开新闻发布会,宣布全球首次应用第三代试管婴儿技术,成功阻断端粒融合型环状染色体向子代传递,现健康宝宝已满百天。这是国际上首次通过改进后的基于链读测序的长片段二代测序技术,成功实现了端粒融合型环状染色体的单体型构建。

小雪(化名)夫妻女方染色体异常(携带环状染色体),男方基因变异,想要生育一个完全健康的孩子非常困难。环状染色体是人类很罕见的一类染色体结构畸变,携带者一般生育率较低,会承受不孕不育、反复流产或生育畸形儿等风险。

附属第六医院梁晓燕教授团队开发了针对环状染色体检测的基于链读测序的长片段二代测序方法,从而确认环状染色体的结构;再通过标记、筛选分类,成功构建17号染色体携带正常染色体的单体型。随后,团队对胚胎进行检测,在11枚胚胎中成功获得了1枚染色体和基因均正常的胚胎。2023年12月7日,这位国际首例“染色体脱环”宝宝顺利诞生,且各项相关评估及检查均正常。

此项技术方法已申请技术发明专利,有望拓展应用至其他有染色体异常和单基因病的夫妇,为更多饱受不孕和遗传疾病风险之苦的家庭生育健康后代带来希望,同时也为医学领域开辟新的道路。

推荐使用IE8.0以上版本浏览器,1280*1024分辨率浏览
中共中山大学委员会主办 《中山大学报》编辑部出版 国内统一刊号CN44-0815/(G) 网址:http://xiaobao.sysu.edu.cn/
投稿电子邮箱:xiaobao@mail.sysu.edu.cn 编辑部地址:广州市新港西路135号中山大学南校区大钟楼三楼
联系电话:(020)84111991 技术支持:领伍科技
切换版本